
Welcome to IM Dental Care
At IM Dental Care we are passionate about the dental health of all our patients. We welcome all adults, children and nervous patients. Ideally, dentistry is preventive: that means making sure you enjoy continually good oral health, and preventing the development of serious dental problems that can require costly treatments. You can enjoy exceptional dental health by visiting us regularly for check-ups and hygiene appointments. If you do however suffer from dental problems, we offer a wide range of treatments and services that will solve them quickly, effectively and pain-free. If you are looking to achieve the smile you always wanted and improve your confidence, don’t hesitate to ask us about the many cosmetic treatments we offer – such as tooth whitening or adult braces.
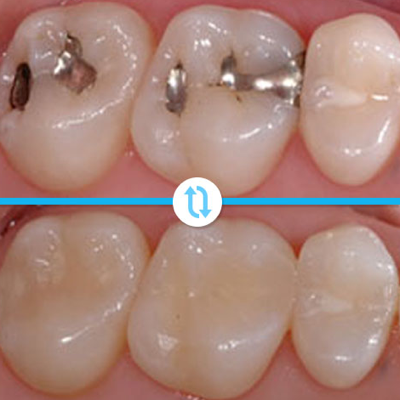
At IM Dental Care we employ the latest, most effective approaches in dentistry. We are a mercury-free practice, meaning we do not use amalgam filling materials. Modern materials allow us to treat dental problems in the most minimally invasive way. Minimally invasive dentistry not only preserves as much of your tooth tissues as possible, but quite often makes the treatment simpler, shorter and less costly.




